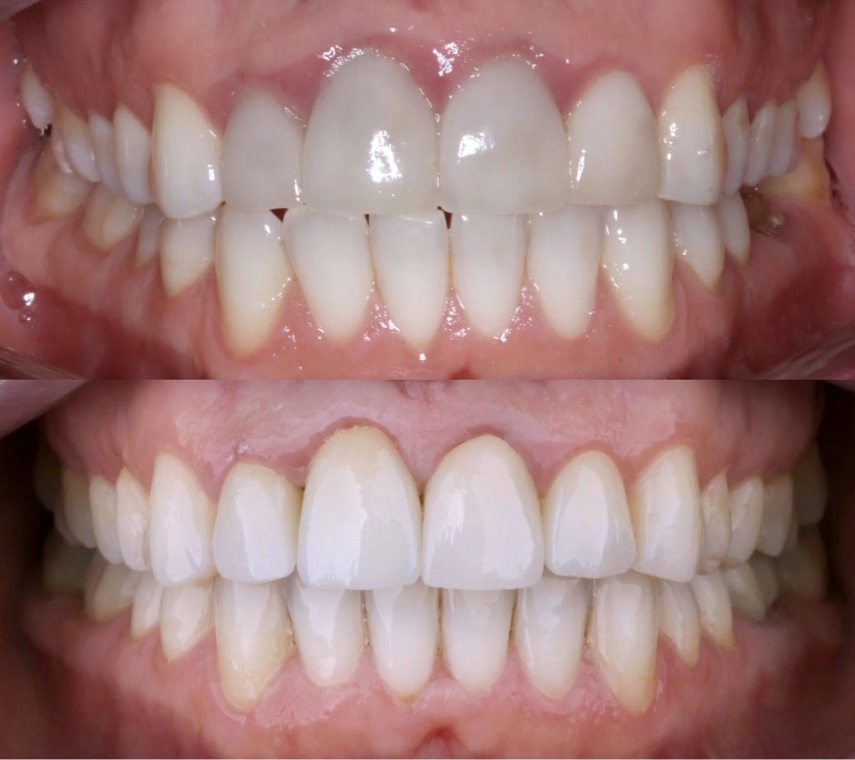
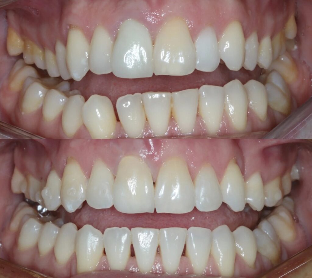
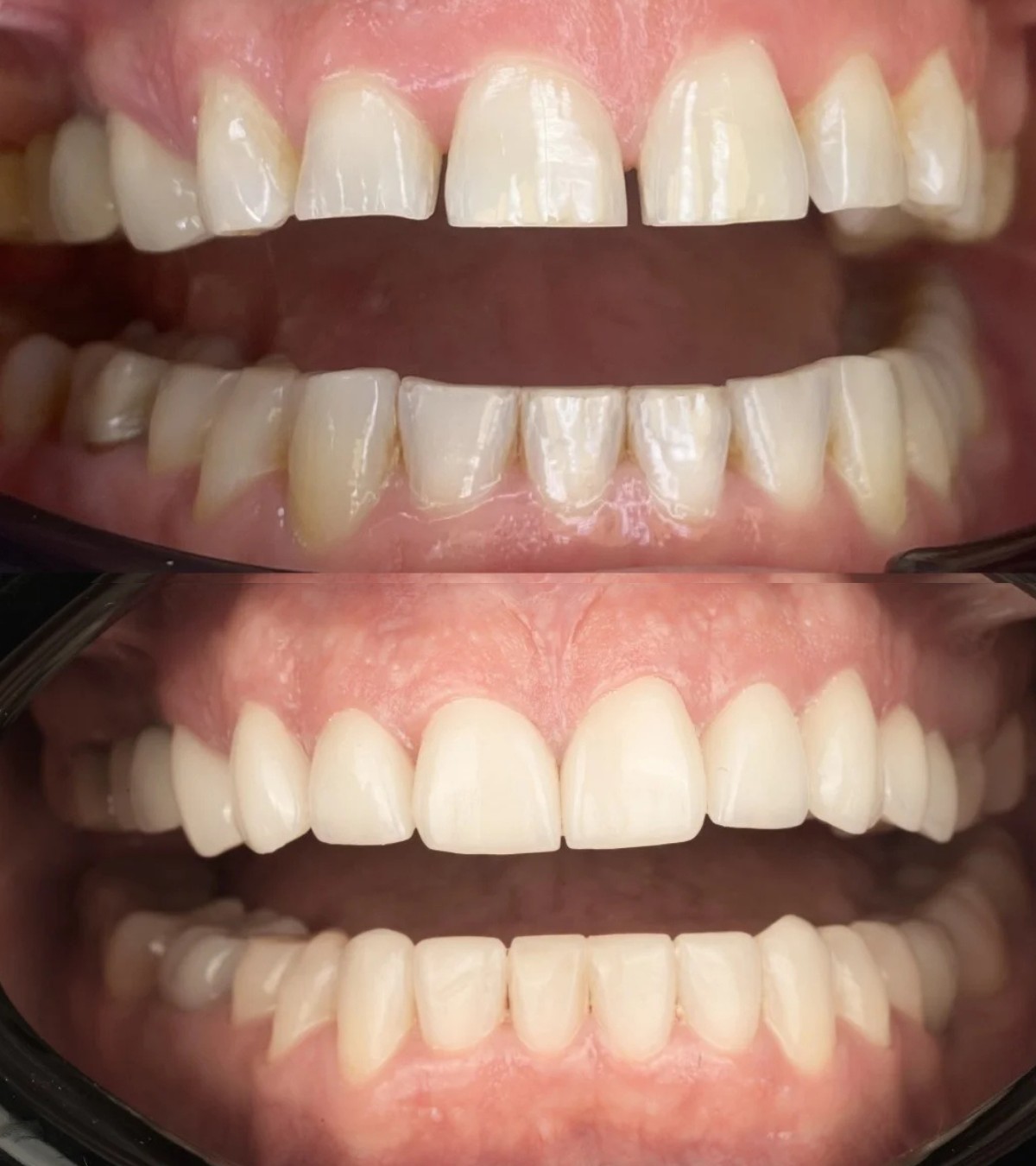
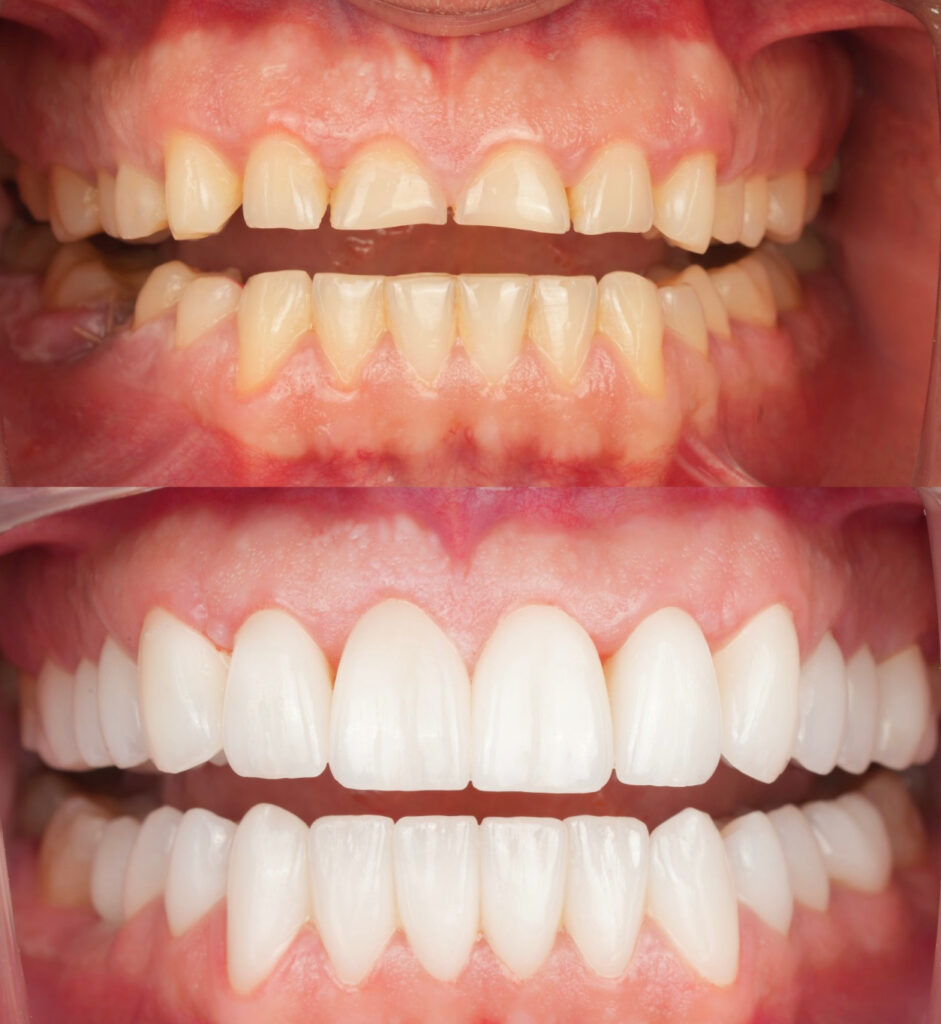
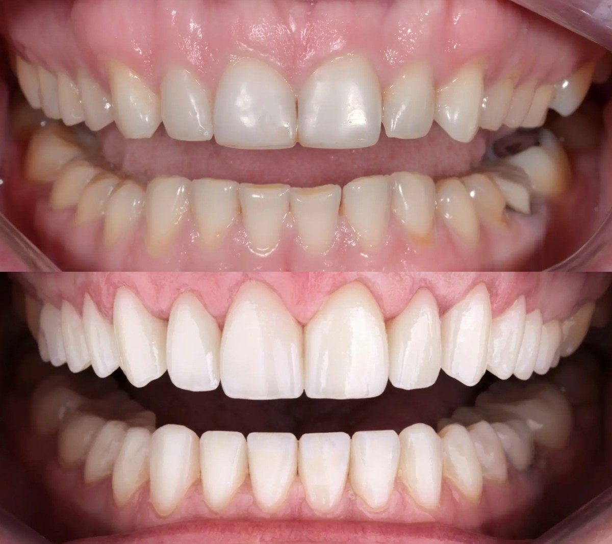
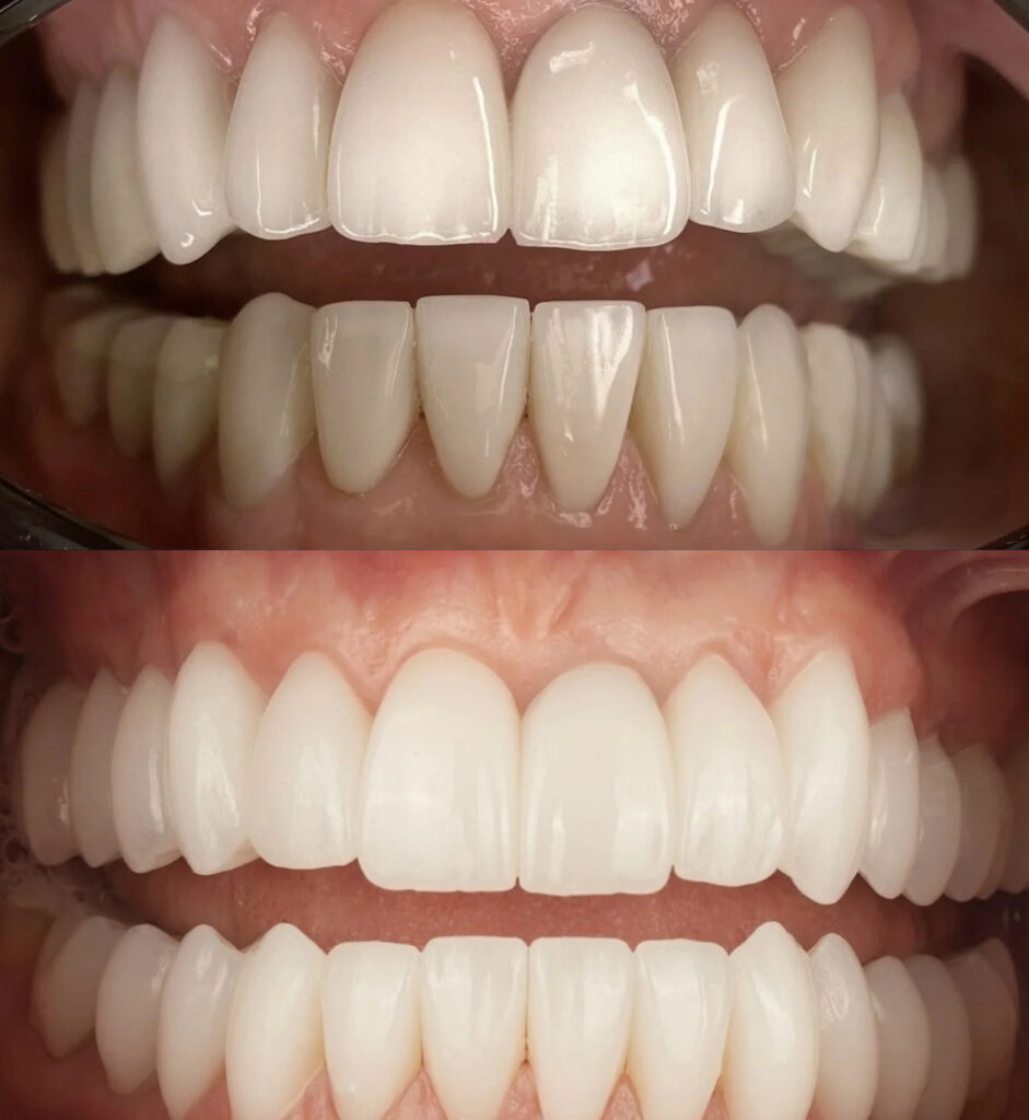
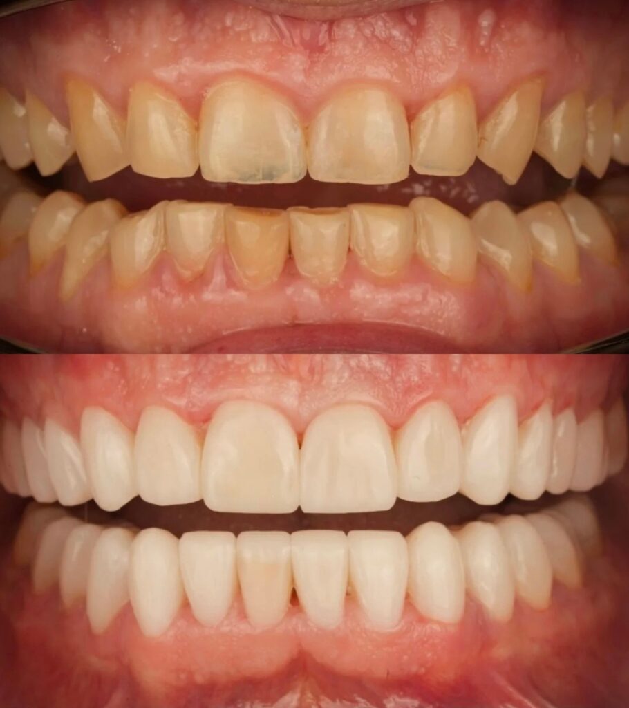
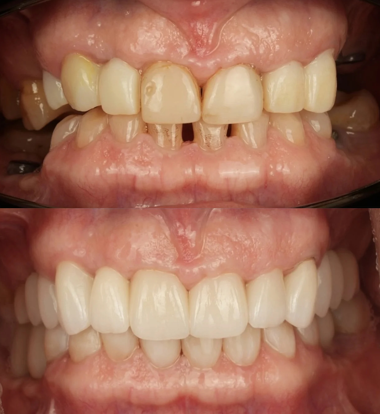
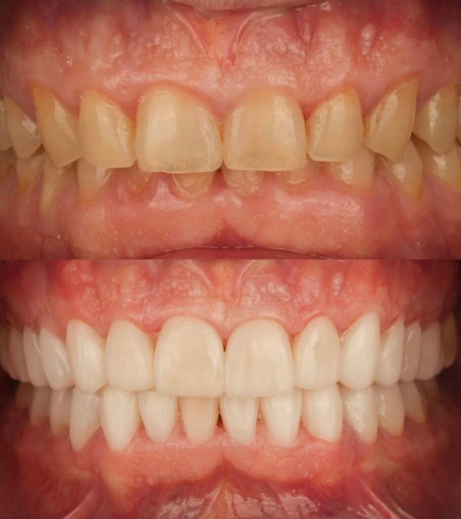
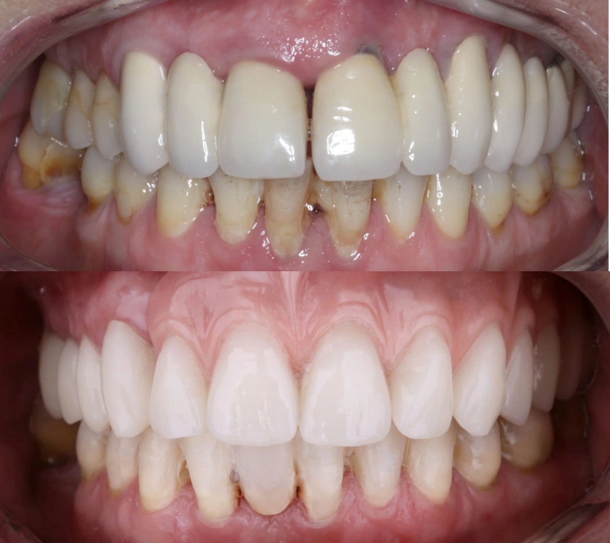
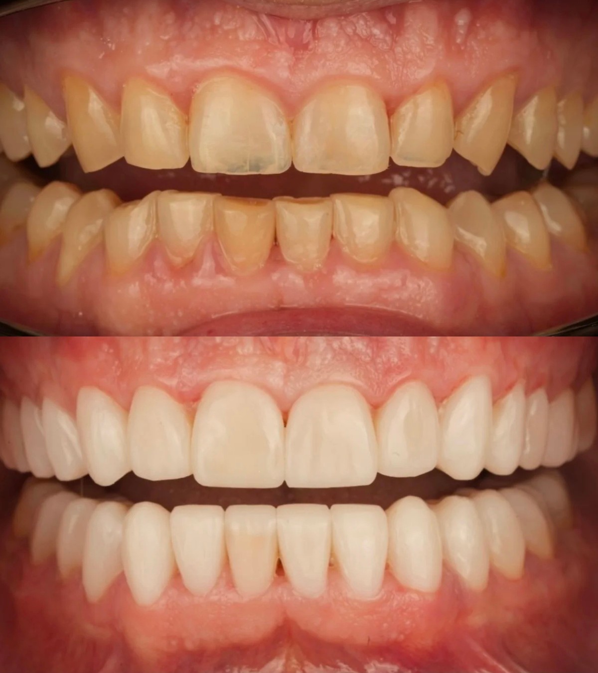
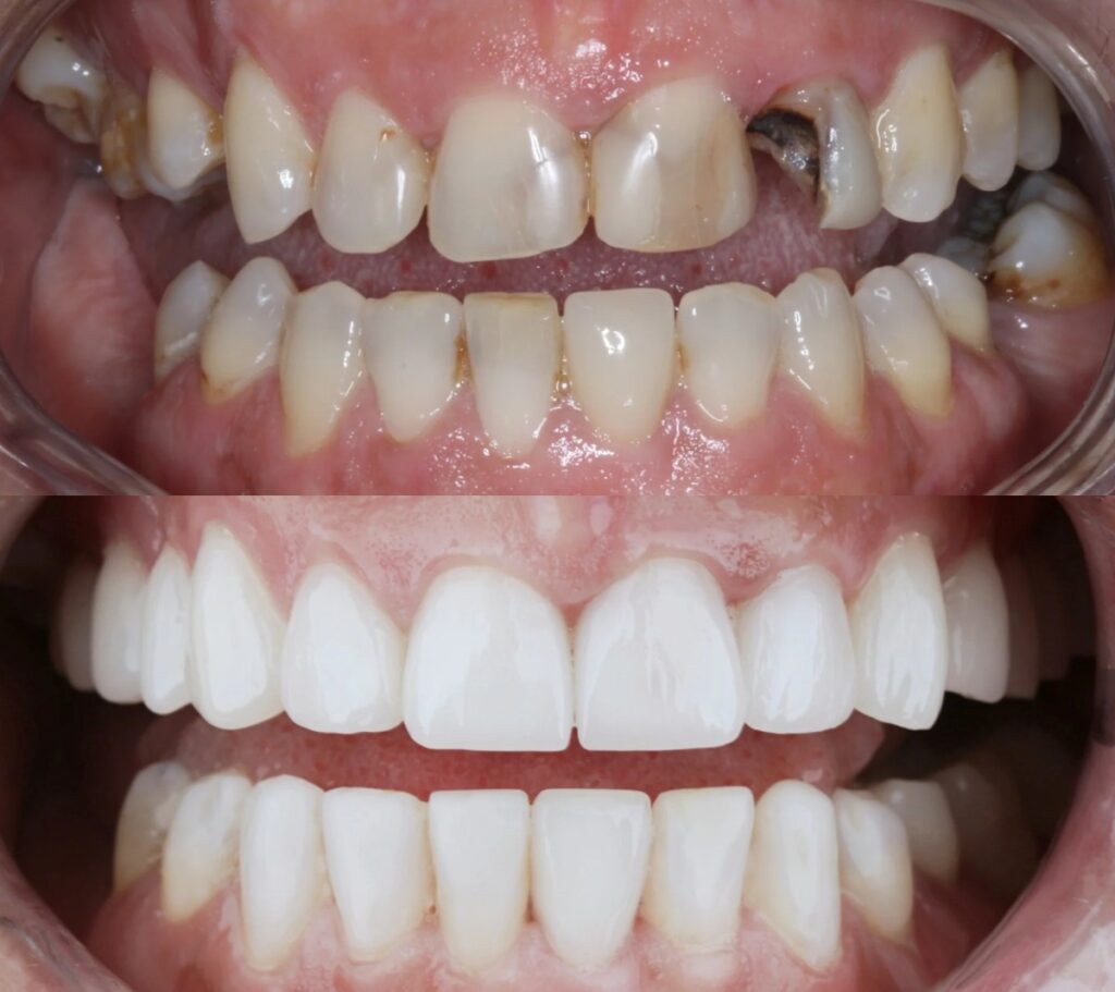
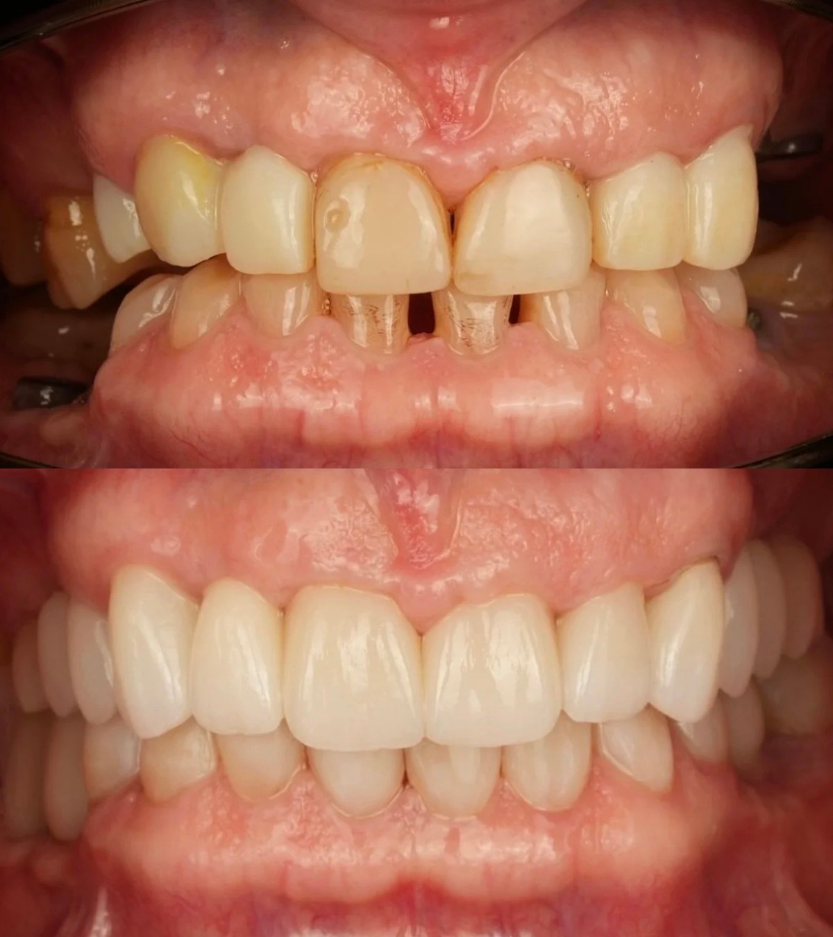
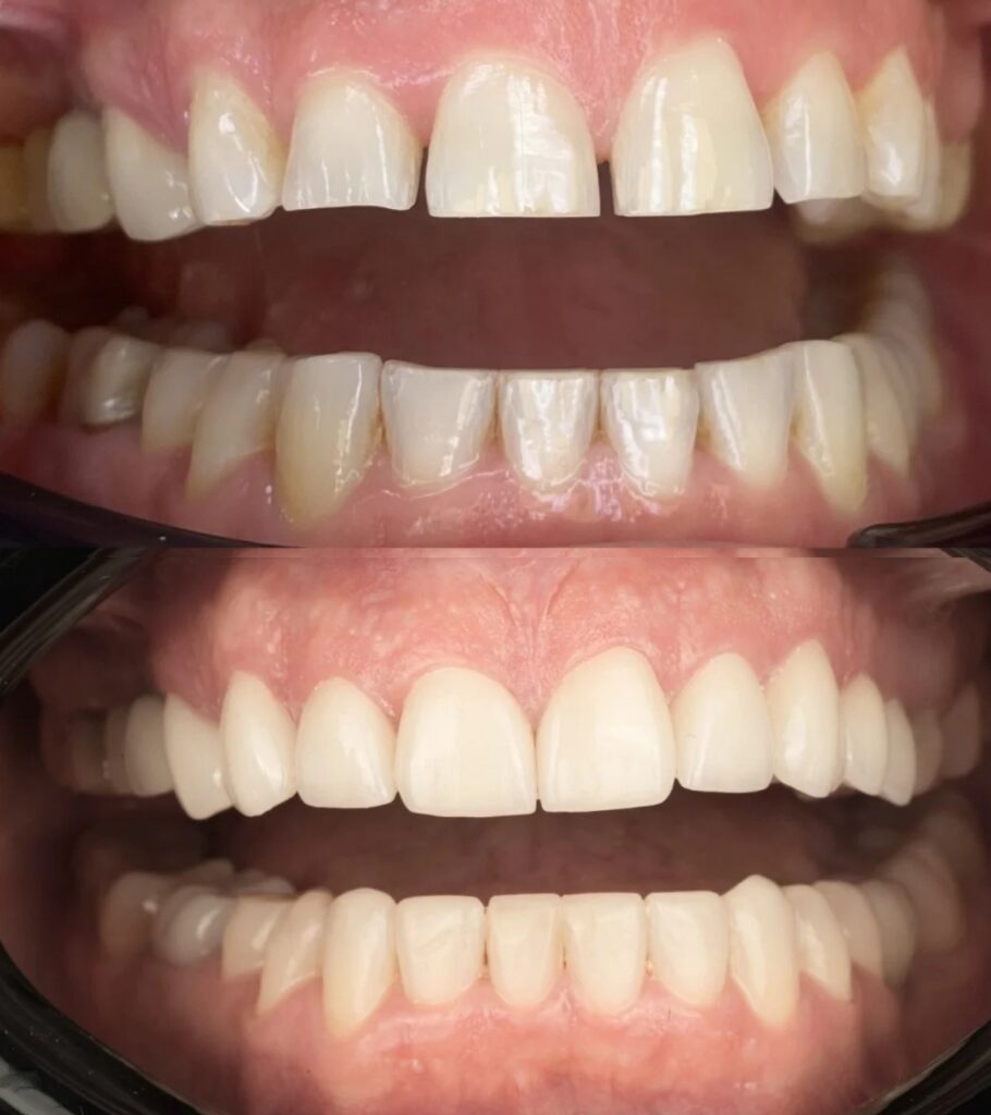
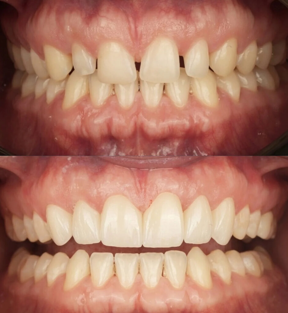
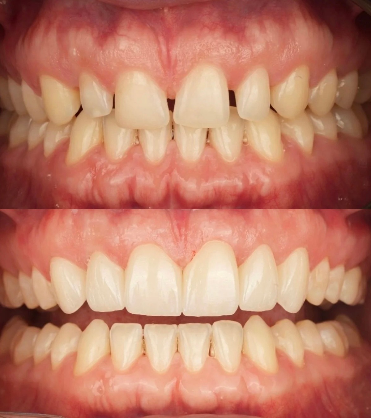
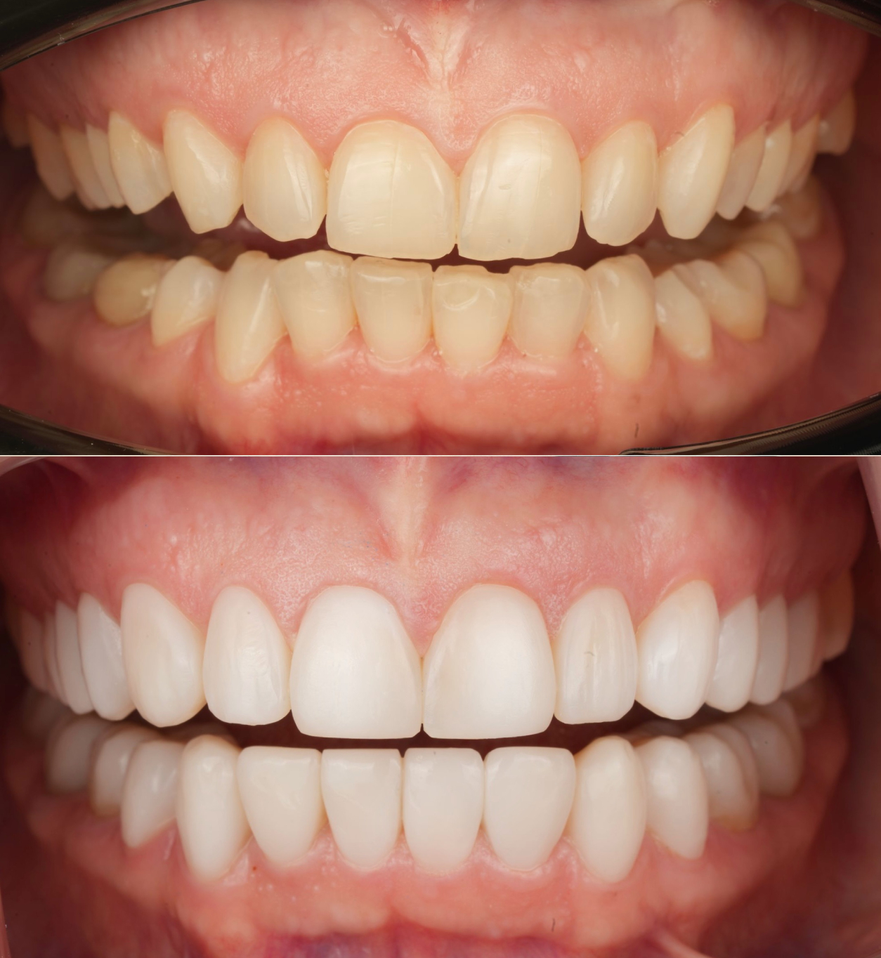
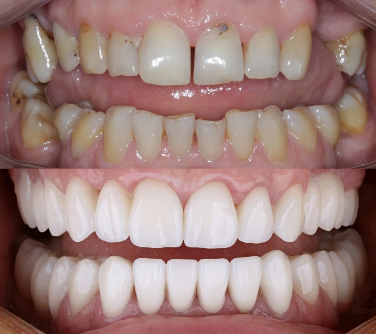
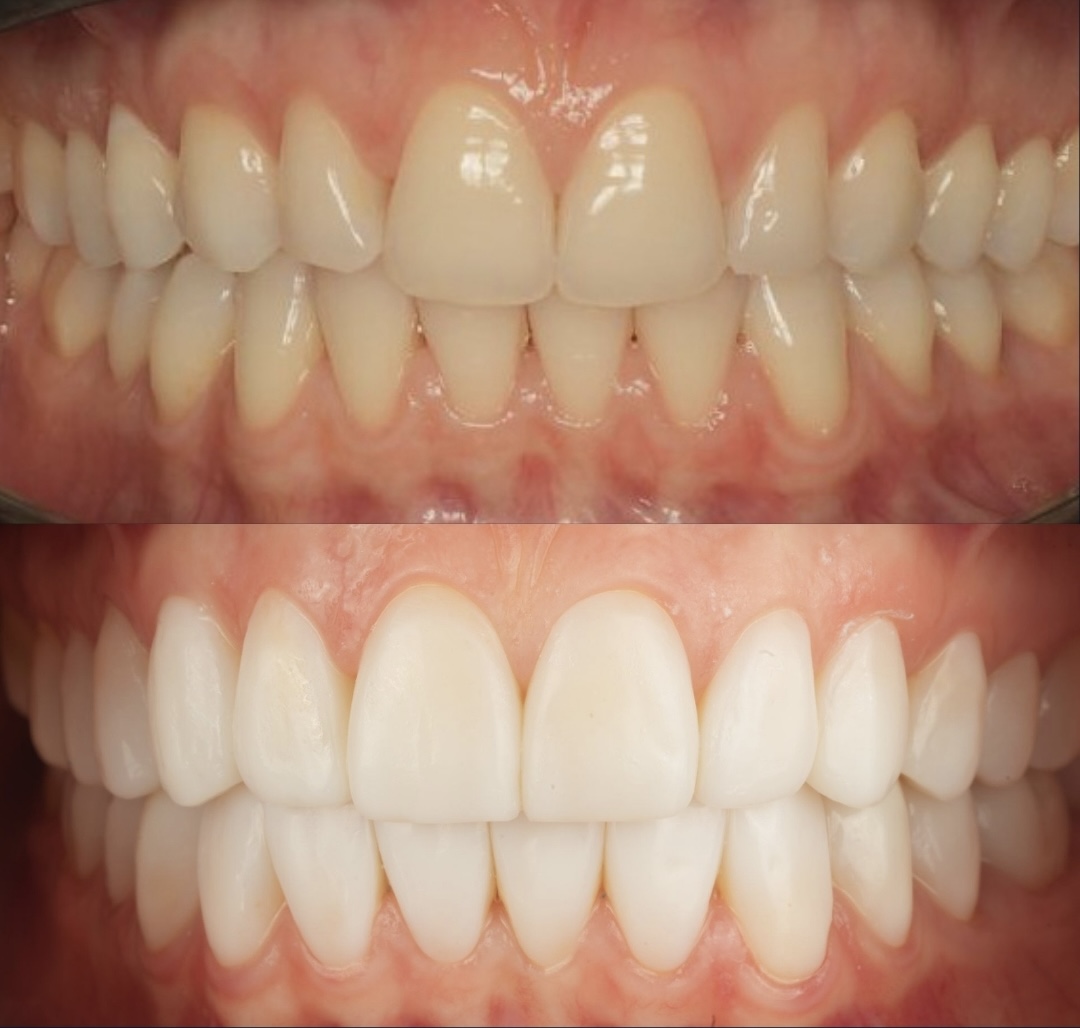
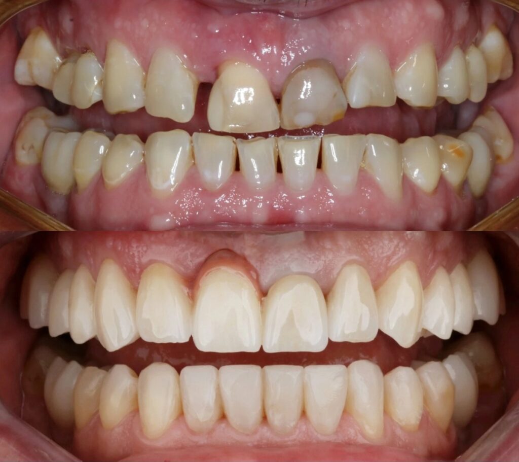
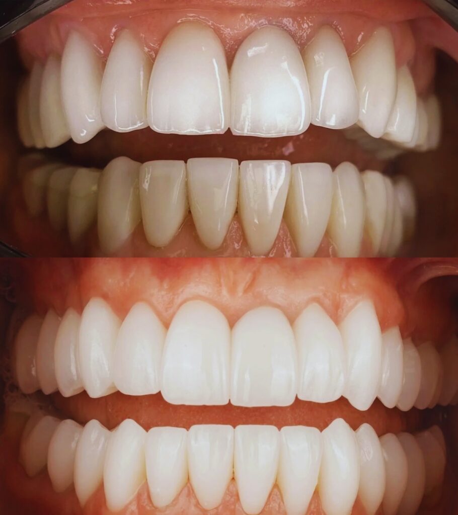
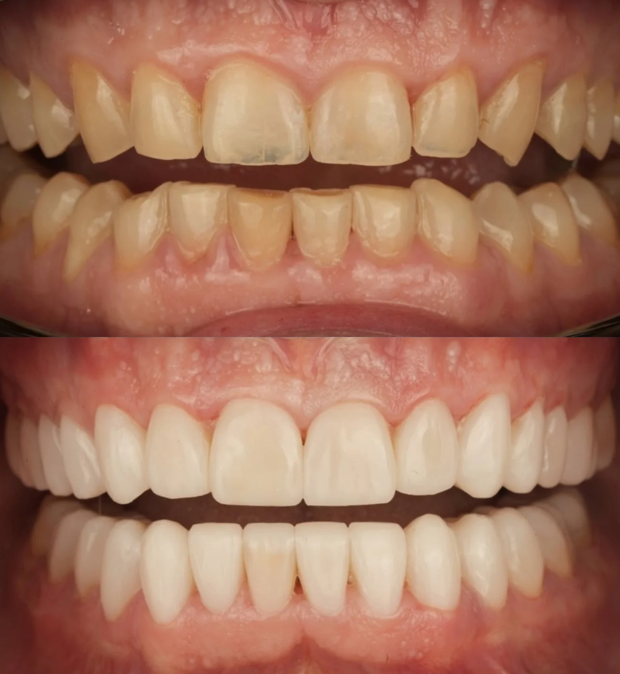
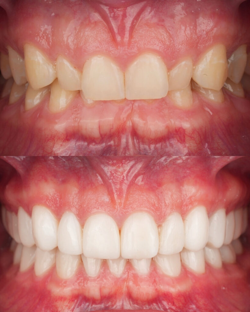
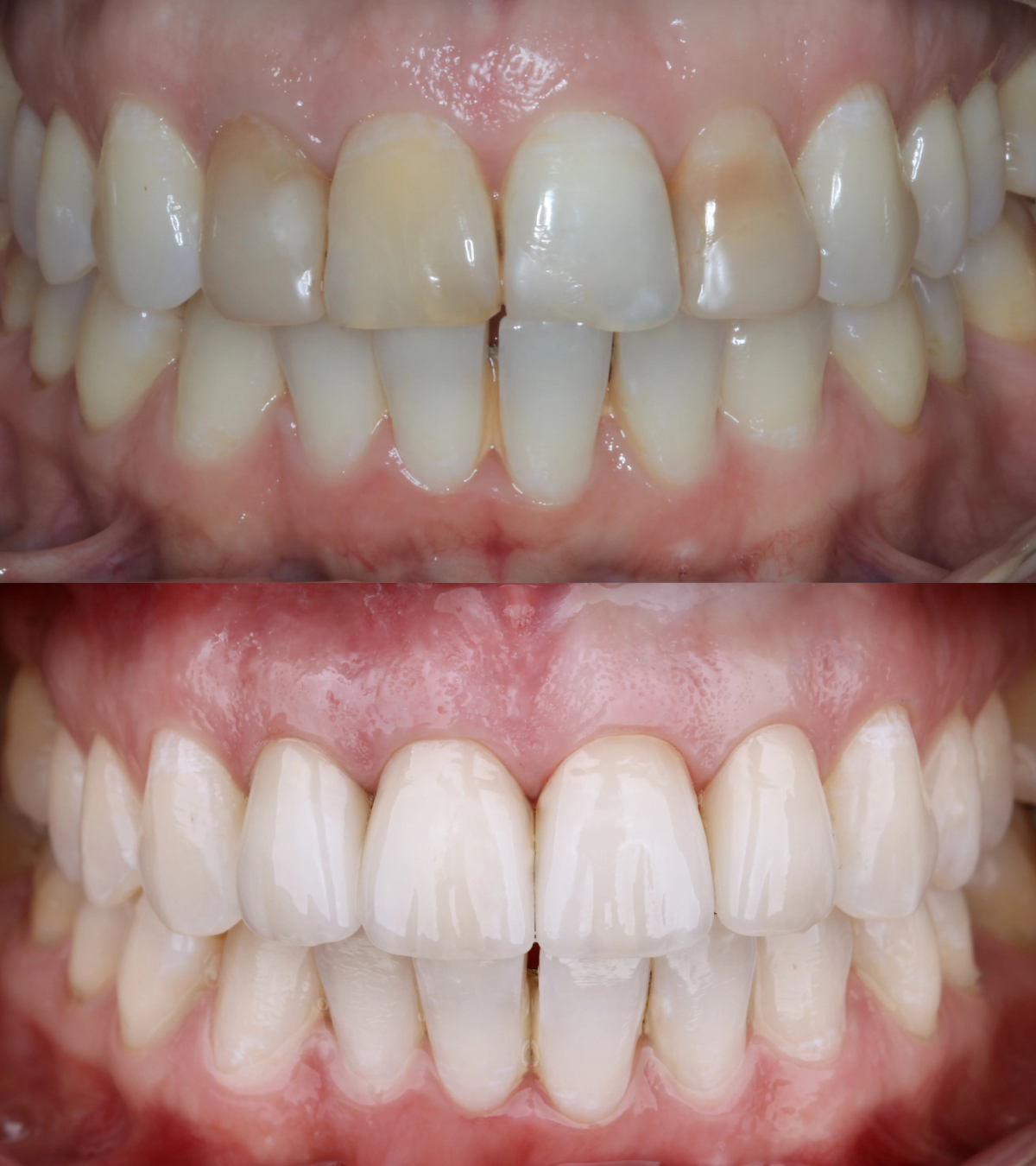
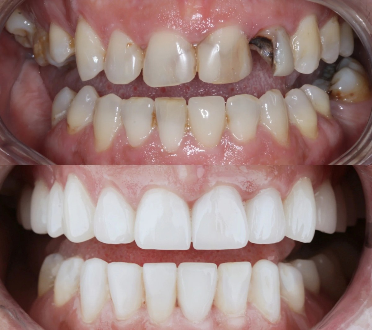
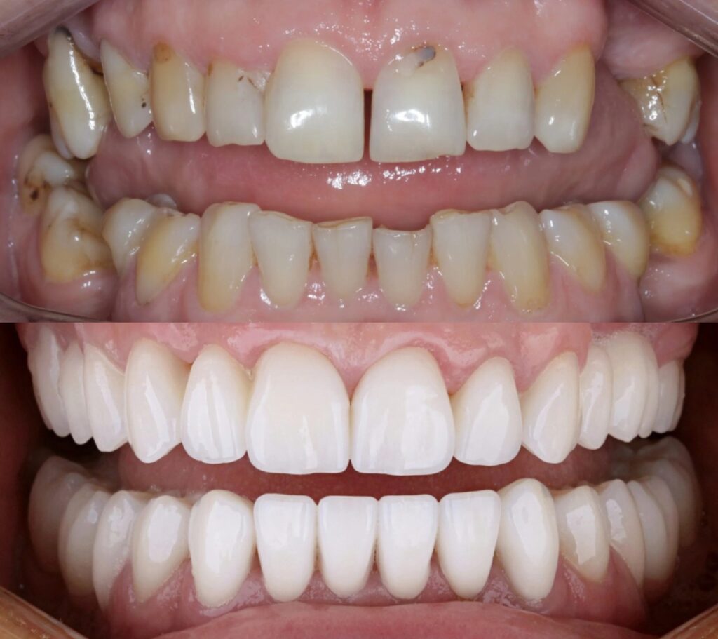
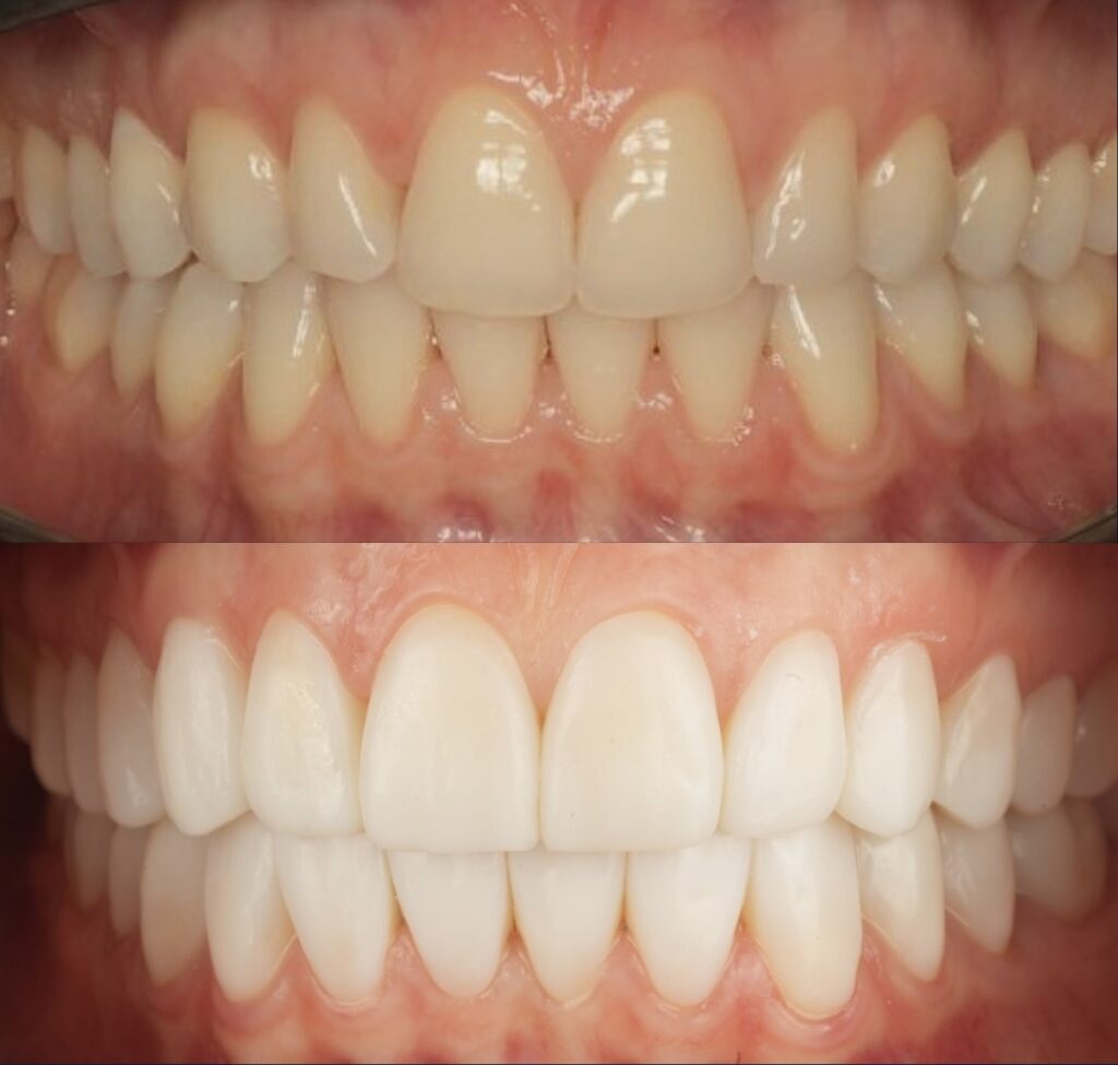
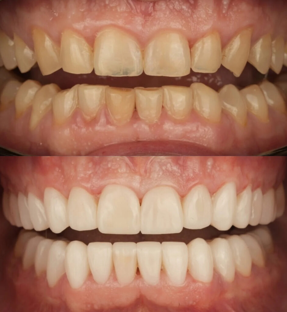
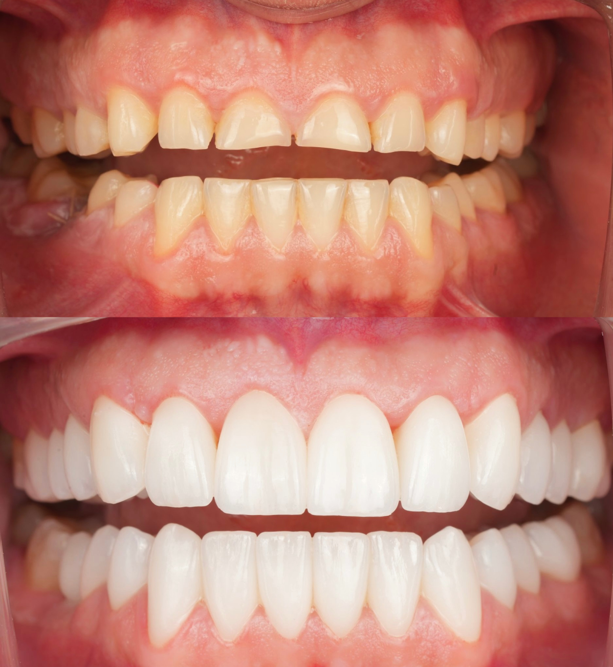
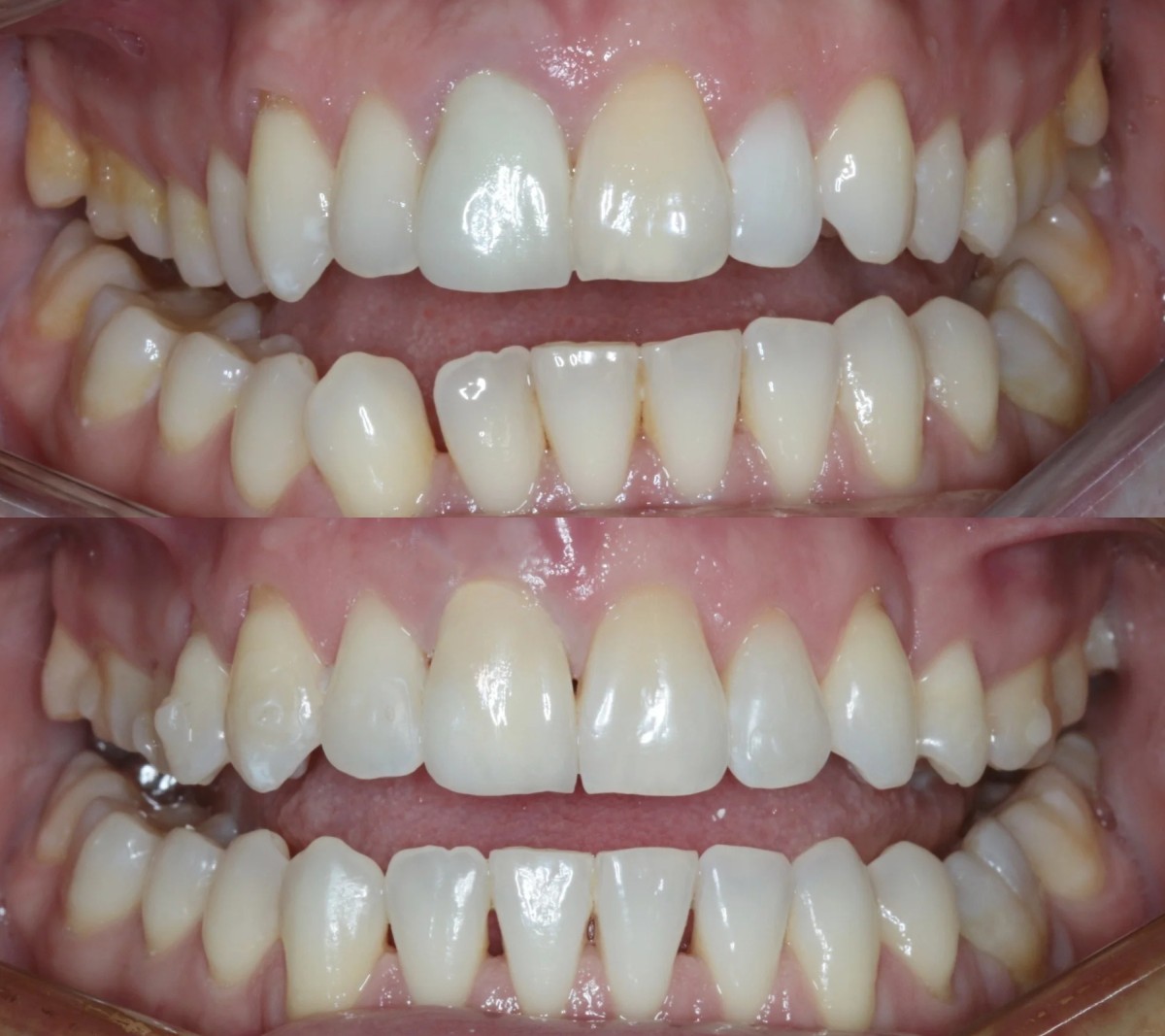
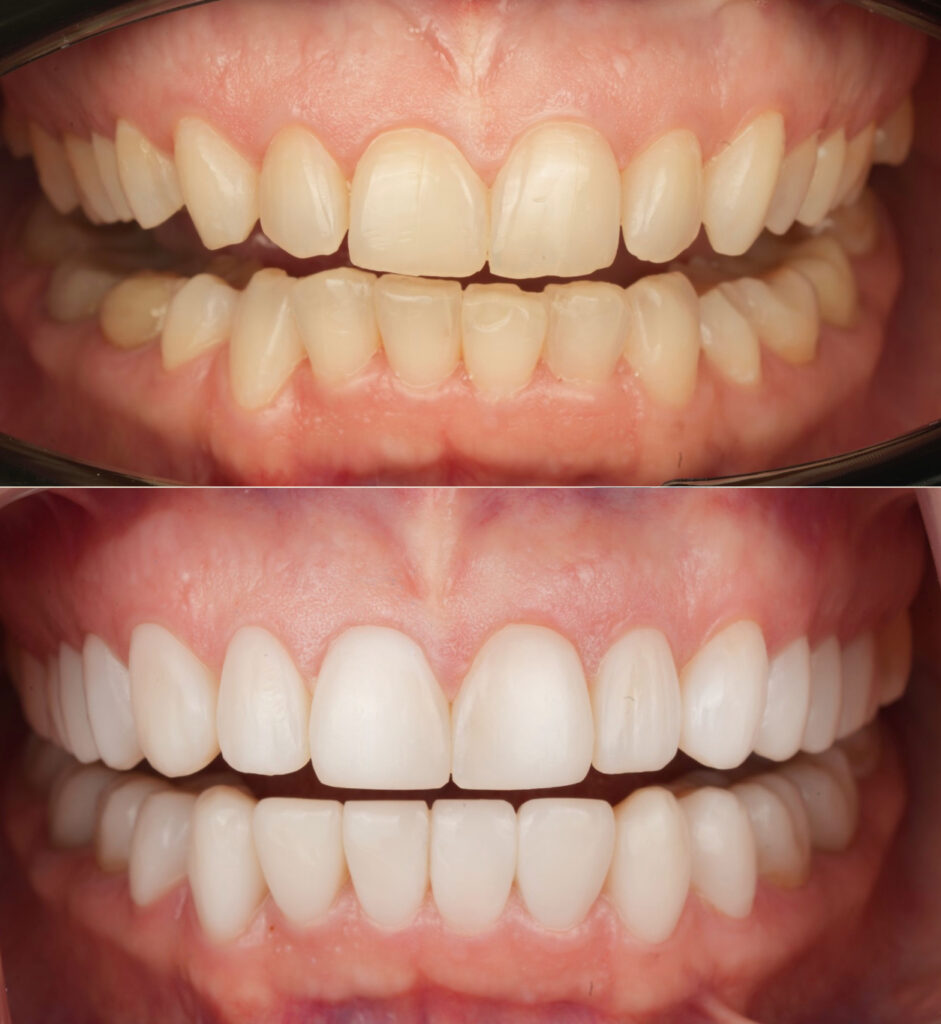
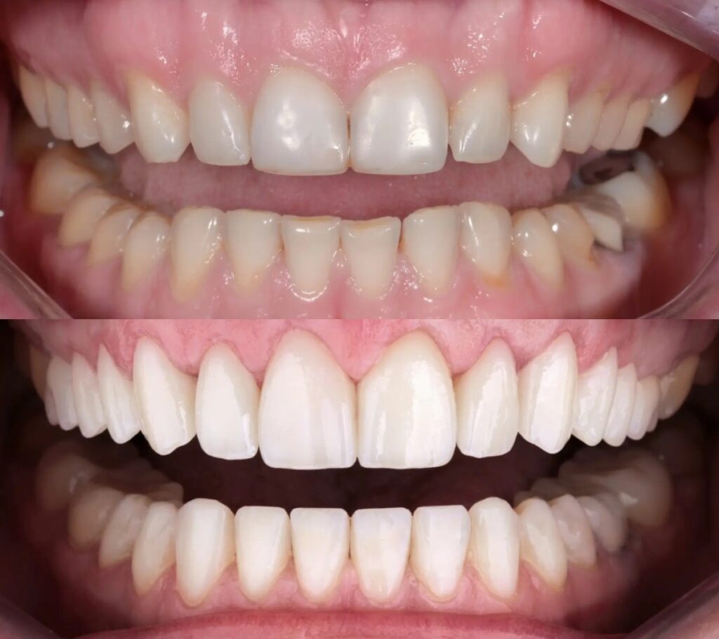
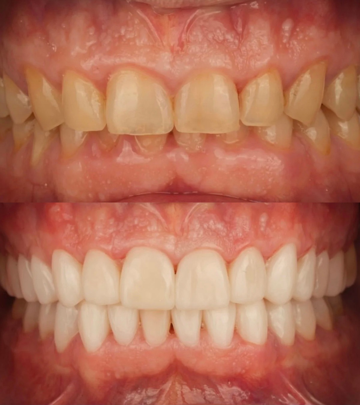
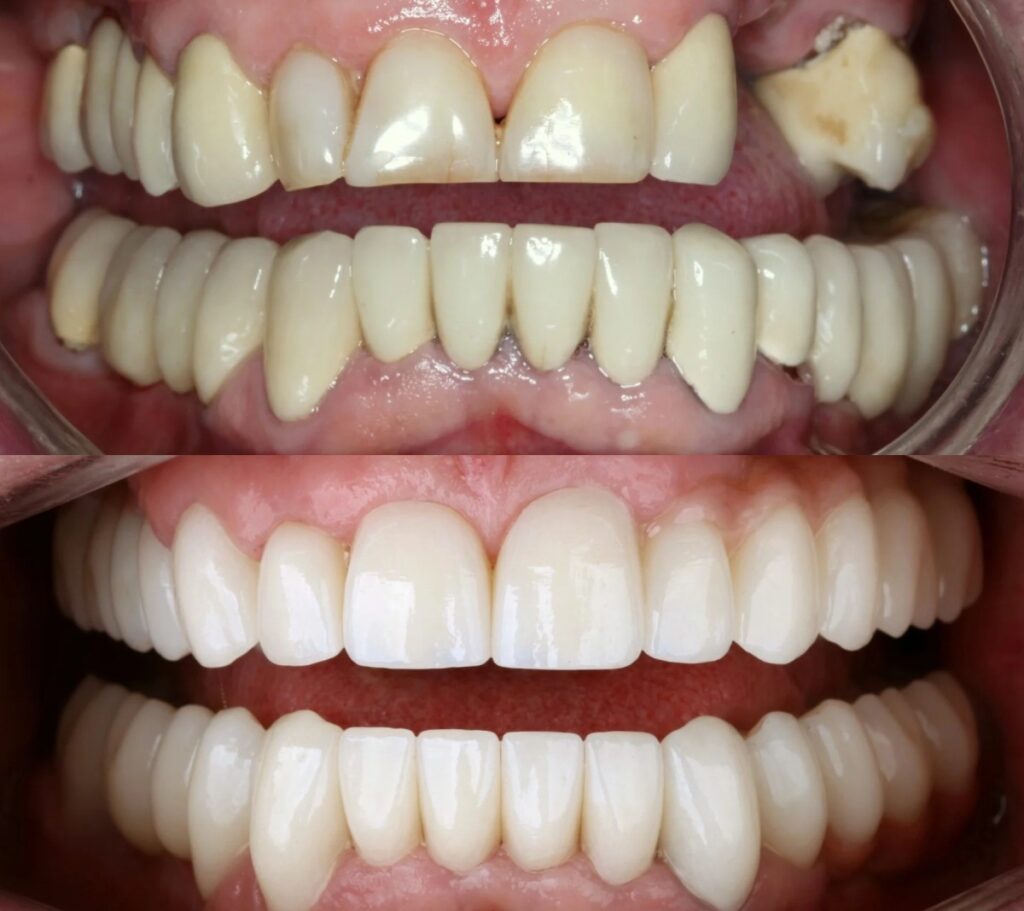
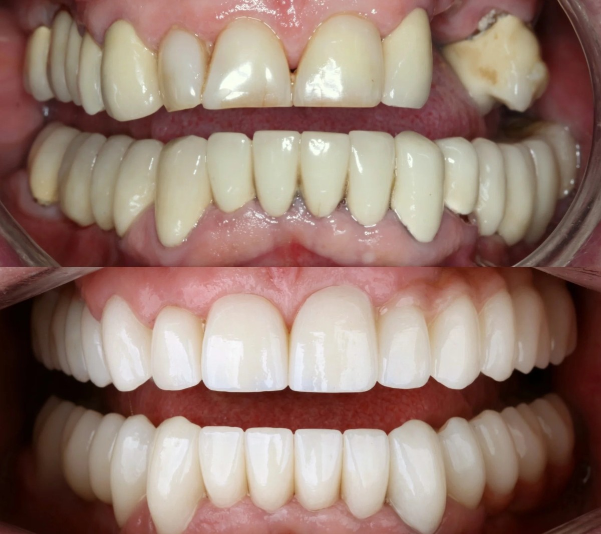
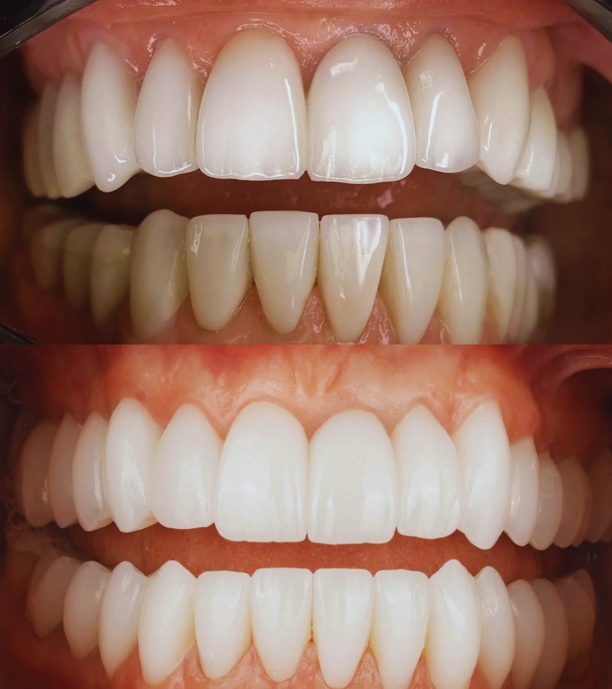
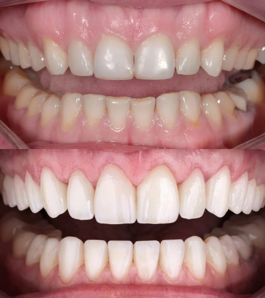
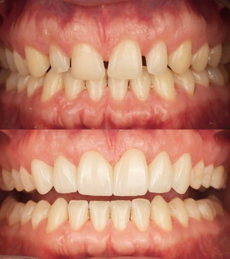
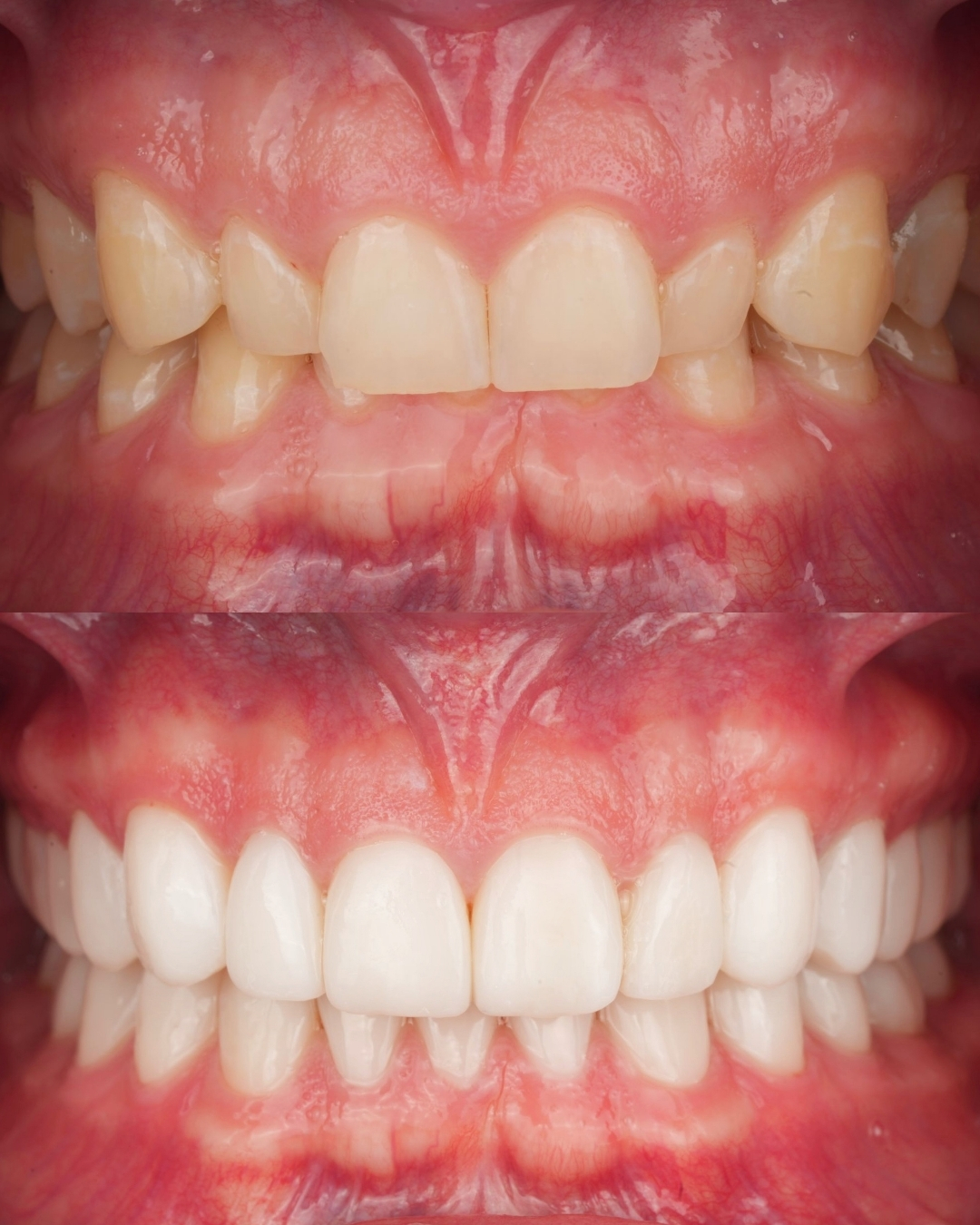
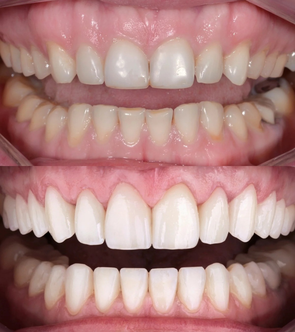
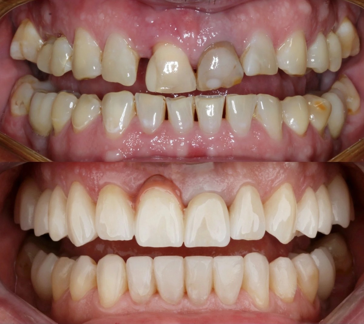
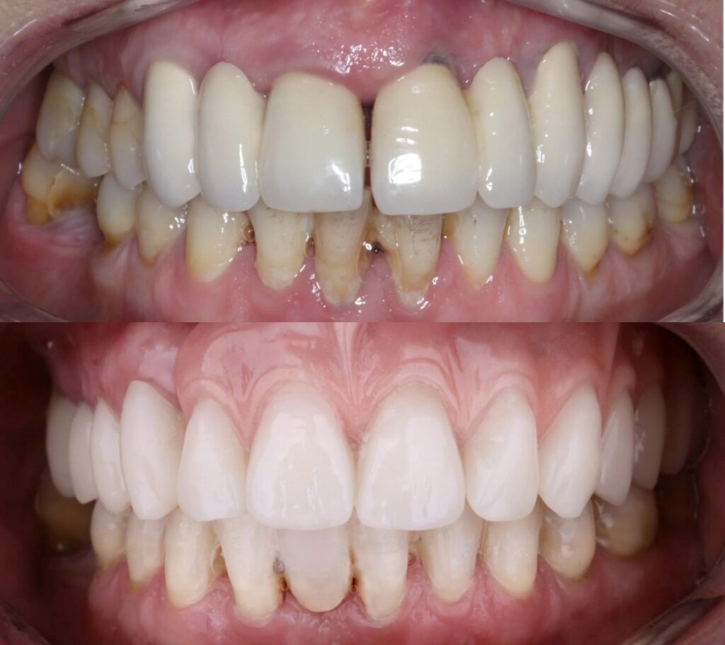
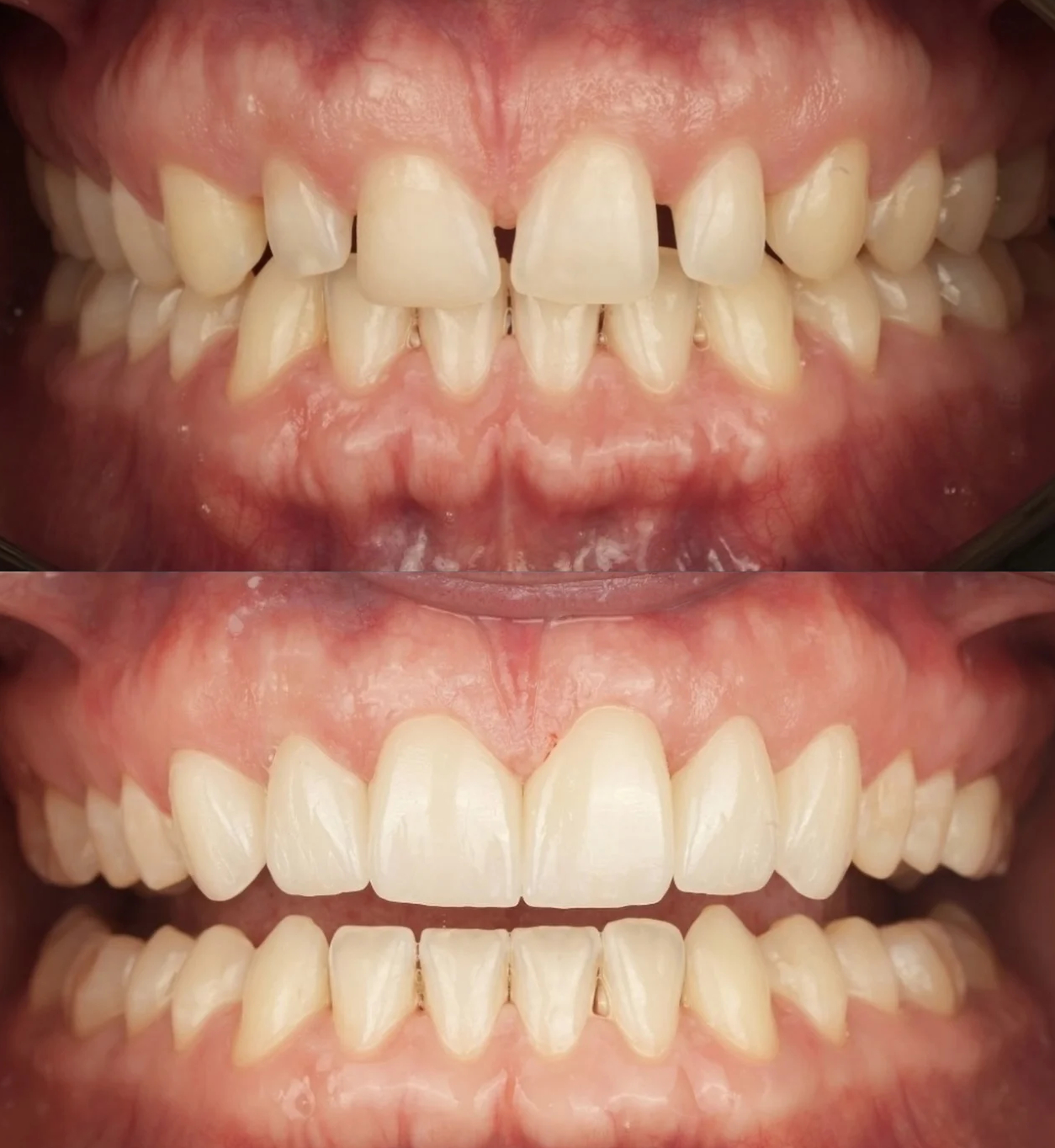
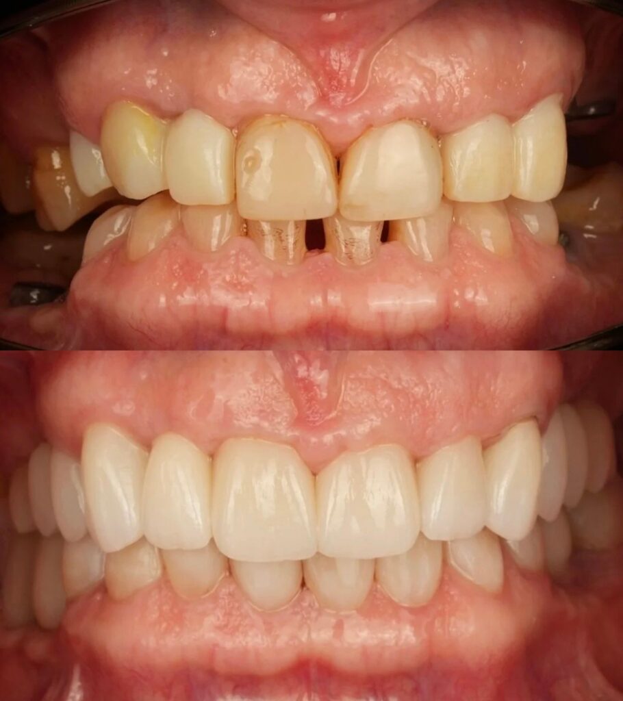
W Kupryś Dental Clinic spełniamy marzenia o pięknym uśmiechu. Łącząc wiedzę i doświadczenie naszych specjalistów z najnowocześniejszymi rozwiązaniami technologicznymi przeprowadzamy kompleksowe metamorfozy uśmiechu w oparciu o szczegółowy plan. Poniżej przykładowe metamorfozy pacjentów Kupryś Dental Clinic.
Sugerujemy pozostawienie samochodu na nowo utworzonym parkingu miejskim pod Placem Powstańców Warszawy (100 m do kliniki)